사례 1
수술 전(4.96cm)
수술 3개월 후(3.65cm)
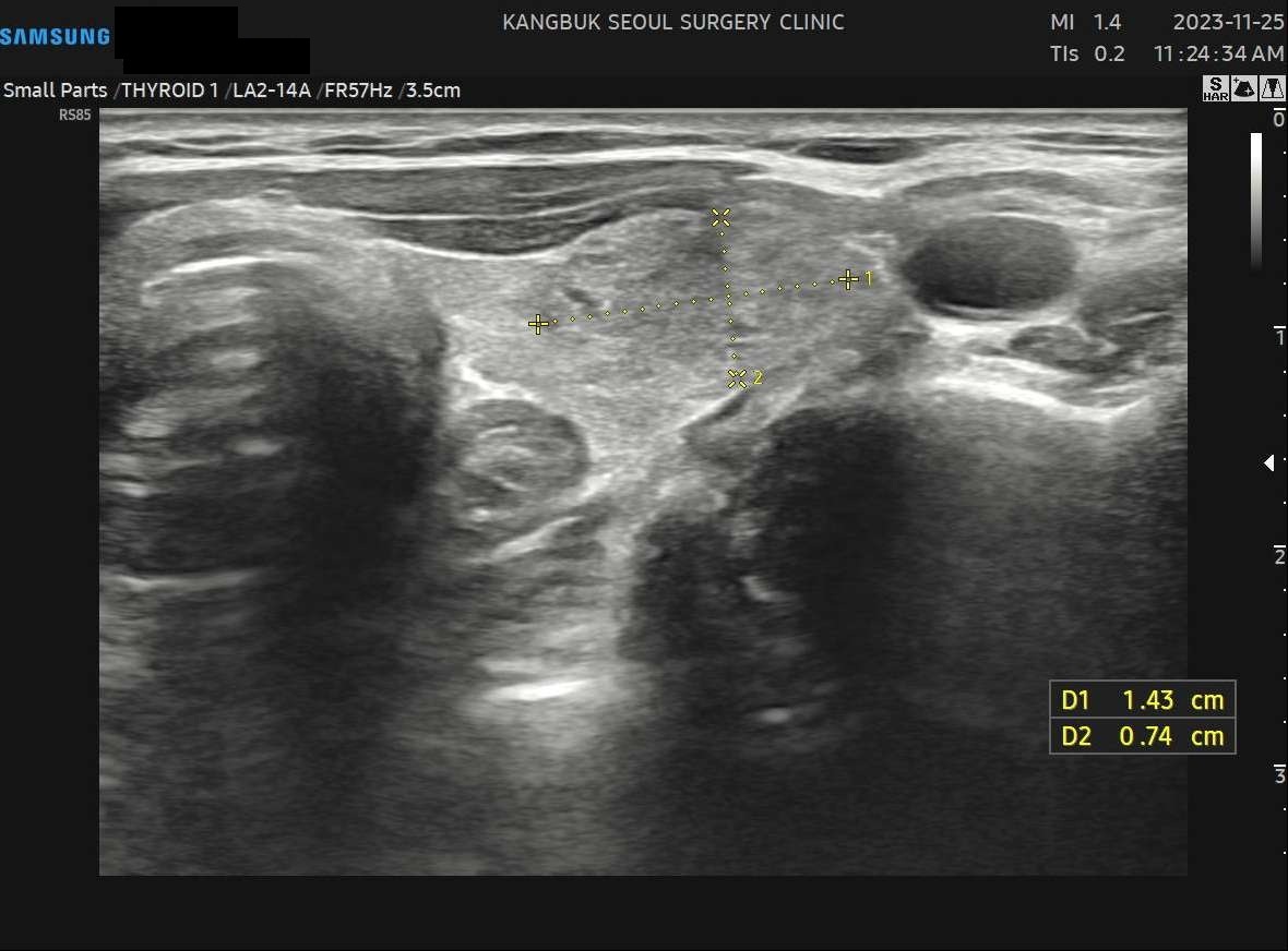
수술 8개월 후(1.43cm)
사례 2
수술 전(4.77cm)
수술 2개월 후(1.68cm)
수술 14개월 후(5.4mm)사례 3
수술 전(3.36cm)
수술 1개월 후(1.6cm)
수술 3년 후(9.8mm)
사례 4
수술 전 (3.25cm)
수술 2개월 후 (1.7cm)
수술 1년 후 (8.4mm)
사례 5
수술 전 (5.06cm)
수술 1개월 후 (3.73cm)
수술 1년 후 (1.58cm)
사례 6
수술 전 (4.7cm)
수술 1개월 후 (2.83cm)
수술 7개월 후 (0.93cm)
사례 7
수술 전 (4.31cm)
수술 1개월 후 (2.38cm)
수술 10개월 후 (0.49cm)
사례 8
수술 전 (4.69cm)
수술 1개월 후 (2.80cm)
수술 1년 후




